
时间:2021-10-14 18:58:03来源:

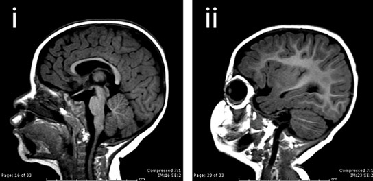
一个普通的大脑和一个有微微畸形的人。
新出版的研究识别了对脑细胞的成型和挑选至关重要的“切割”酶以及神经干细胞的补充。
在线神经元出现在线12月17日的研究有助于解释复杂的脑异常的分子基础,包括在患有各种临床问题的儿童中观察到的小脑大小(微症),从严重的认知赤字到自闭症谱紊乱。
耶鲁队由Ketu Mishra-Gorur和Ahmet Caglayan在Murat Gunel,Nixdorff-德国教授和神经外科部门的椅子上领导,以及耶鲁医学院的遗传学和神经生物学教授。该团队测序所有蛋白质编码基因(Exome)的儿童,在晶塞遗传学耶鲁遗传学中心遗传脑皮质畸形。与加州大学的Joseph Gleeson的集团合作,他们在KatnB1基因中鉴定了五种有害突变,其编码了一部分Katanin蛋白。Katanin,以日本剑或katana命名的是一种酶,其能够支持电池结构并且对其匹配至关重要。
甘尔集团表明,在佩戴生物中,从斑马鱼到果蝇,沉默的KatnB1导致大脑大小降低。突变严重影响不对称,而不是对称的细胞键。不对称细胞键可通过在每种术中产生“祖母”和“女儿”电池来补充神经干细胞群。这允许在早期脑发育期间对细胞数量的指数增加,这在突变KatnB1中丢失了脑中。
“人们普遍理解,不对称细胞间术语在脑皮质发展中起着至关重要的作用,”Gunel说。“Katnb1突变的发现现在揭示了这种机制的基本重要性的一个美观例子以及如何丧失非对称细胞锁定导致小脑尺寸的损失。”
在神经元伴随的纸张中,由哈佛大学克里斯托弗沃尔什的团队领导也独立地发现,缺乏同一基因导致人类,小鼠和斑马鱼的严重脑畸形。
该作品由耶鲁遗传学研究所,霍华德休斯医学研究所和Gregory M. Kiez和Mehmet Kutman Foundation资助。
出版物:Ketu Mishra-Gorur,等人,“KatnB1中的突变通过破坏不对称的神经祖细胞,”Neuron,第84期“2014年12月17日,通过破坏不对称分裂的神经祖细胞,使脑畸形。 DOI:10.1016 / J.NEURON.2014.12.014
图像:耶鲁大学
声明:文章仅代表原作者观点,不代表本站立场;如有侵权、违规,可直接反馈本站,我们将会作修改或删除处理。
图文推荐
 
				2021-10-14 18:58:00
 
				2021-10-14 17:58:00
 
				2021-10-14 17:38:42
 
				2021-10-14 16:58:00
 
				2021-10-14 15:58:00
 
				2021-10-14 14:58:00
热点排行
精彩文章
 
				2021-10-14 18:58:02
 
				2021-10-14 17:58:01
 
				2021-10-14 16:58:01
 
				2021-10-14 15:58:02
 
				2021-10-14 14:58:02
 
				2021-10-14 13:58:02
热门推荐
