
时间:2021-11-11 17:58:06来源:

耶鲁大学的研究人员说,与健康成年人相比,患有1型糖尿病的人的大脑对低血糖的反应不同。
他们的新研究结果发表在《临床研究杂志》上,阐明了为什么许多1型糖尿病患者无法对血糖水平潜在危险的下降做出反应。
在健康,非糖尿病的成年人中,血糖下降会刺激人体产生葡萄糖并寻找食物。但是,许多1型糖尿病的个体对胰岛素治疗可能导致的血糖降低反应并不相同。
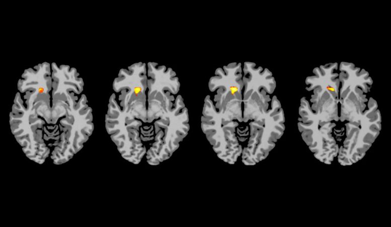
为了调查原因,由耶鲁大学领导的团队对1型糖尿病的个体和接受胰岛素诱导低血糖的健康成年人进行了MRI扫描。脑部图像显示,在健康的个体中,低血糖会导致大脑四个关键区域的变化,这些变化与奖励,动机和决策制定有关。
相比之下,大约一半的1型糖尿病患者仅在与注意力有关的大脑区域表现出活动改变。其余的糖尿病患者即使对轻度低血糖也没有表现出任何大脑变化。
两组糖尿病患者之间的区别在于,一些糖尿病患者仍然具有所谓的“低血糖意识”(即能够感知低血糖的身体症状的能力),而其他糖尿病患者则没有。
研究人员说,这些发现解释了为什么某些适应低血糖的1型糖尿病患者在血糖过低时没有反应。
该研究的第一作者,医学助理教授,医学博士Janice Hwang说:“从健康的成年人到无意识的人,对低血糖的协调性大脑反应会逐渐丧失。”“大脑中最先进入的区域与调节进食行为有关。”
Hwang指出,这项研究还可以帮助研究人员确定如何恢复失去血糖的患者的低血糖意识。她说,旨在监测血糖的新技术可以在这项工作中发挥作用。
其他研究作者是Lisa Parikh,Cheryl Lacadie,Dongju Seo,Wai Lam,Muhammad Hamza,Christian Schmidt,Feng Dai,Anne-Sophie Sejling,Renata Belfort-DeAguiar,R.Todd Constable,Rajita Sinha和Robert Sherwin。
这项研究得到了美国国立卫生研究院和耶鲁大学临床研究中心的“临床转化科学奖”的部分资助。Hwang和Sherwin从Regeneron获得了与该项目无关的研究支持。
出版物:Janice Jin Hwang等人,“ 1型糖尿病的低血糖意识不足会抑制大脑对低血糖的反应”,《临床调查》,2018年; doi:10.1172 / JCI97696
声明:文章仅代表原作者观点,不代表本站立场;如有侵权、违规,可直接反馈本站,我们将会作修改或删除处理。
图文推荐
 
				2021-11-11 17:58:02
 
				2021-11-11 16:58:00
 
				2021-11-11 15:57:59
 
				2021-11-11 14:58:02
 
				2021-11-11 13:58:03
 
				2021-11-11 12:58:02
热点排行
精彩文章
 
				2021-11-11 17:58:04
 
				2021-11-11 16:58:02
 
				2021-11-11 15:58:01
 
				2021-11-11 14:58:04
 
				2021-11-11 13:58:05
 
				2021-11-11 12:58:04
热门推荐
